Presentación de Casos
Cirrosis Hepática Cardíaca con diez años de evolución; sin causa etiológica conocida; en el Siglo XXI
Cardiac cirrhosis of the liver with ten years of evolution; without etiological acknowledged cause; In the Century XXI
Rodolfo Vega Candelario
Universidad de Ciencias Médicas, Ciego de Ávila, Cuba
Correspondencia: Dr. Rodolfo Vega Candelario. Emails: rvc_50@hgm.cav.sld.cu candelariovega@nauta.cu
RESUMEN
El corazón y el hígado están tan interrelacionado en sus funciones. Por lo que cuando tenemos alguna alteración de la función de uno hay que estudiar la función del otro por íntima interrelación. Las causas desconocidas de las enfermedades a la altura del Siglo XXI son cada vez más raras. Es imprescindible dejar de ver al paciente como un órgano aislado; todo análisis debe ser hecho de forma Integral, multidisciplinaria y biopsicosocial. En un hígado enfermo no puede dejarse de descartar la enfermedad cardiovascular. Se presenta un caso de diagnóstico de enfermedad hepática de causa desconocida por 10 años.
Palabras clave: Cirrosis Hepática Cardíaca; Estenosis Mitral Crítica; Valvulopatía mitral
SUMMARY
The heart and the Liver are so cross-linked in his shows. For that when we have any alteration of the show of one is necessary to go into the show of the other one for intimate interrelation. The causes been ignorant of the diseases at the height of the century are XXI more and rarer. It is essential to stop to see the patient like an isolated organ; all analysis must be made of Integral, multi-disciplinary and bio psychosocial form. It cannot be kept discarding the disease in a sick liver vascular cardio.
Is presented a case of a Hepatic disease of unknown cause with 10 years of evolution.
Keywords: Cardiac Cirrhosis of the Liver; Stenosis Mitral Critical; Mitral Valve Disease
Introducción
El diagnóstico de la hepatopatía congestiva se puede definir a través de 4 criterios (1,2):
1- Enfermedad cardiaca estructural que genere falla ventricular derecha. 2- Signos y síntomas de insuficiencia cardíaca derecha (ICD): ingurgitación yugular, reflujo hepatoyugular, hepatomegalia, edemas, ascitis). 3- Elevación de los marcadores séricos de colestasis (fosfatasa alcalina, bilirrubina total y directa, gamma glutamil transpeptidasa). 4- Exclusión de otras causas de hepatopatía.
Los efectos de la insuficiencia cardíaca (IC) crónica congestiva sobre el hígado incluyen el descenso del flujo sanguíneo hepático, aumento de la presión venosa hepática y descenso de la saturación arterial. La falla ventricular derecha lleva a la dilatación de las sinusoides hepáticas, edema sinusoidal e hipertensión sinusoidal, que pueden llevar a una atrofia progresiva de los hepatocitos de la zona 3, al desarrollo de fibrosis centrolobulillar, y eventualmente a hipertensión portal con ascitis. La presencia de ascitis se puede constatar hasta en casi el 25% de estos pacientes. Por otro lado, el aumento del tamaño de las fenestras sinusoidales puede resultar en necrosis de los hepatocitos, y en la fuga de líquido rico en proteínas hacia el espacio de Disse (3,4).
La presentación clínica de la hepatopatía congestiva usualmente esta enmascarada por signos y síntomas de IC derecha. El paciente puede estar asintomático por años. Muchos con cambios congestivos persisten asintomáticos, y en estos casos, se los identifica tardíamente a través de marcadores séricos hepáticos alterados (5,6).
Los pacientes pueden manifestar un leve dolor sordo en hipocondrio derecho. Al examinarlos presentan signos de congestión hepática como ictericia, ascitis y edema de miembros inferiores. También pueden presentar signos de falla ventricular derecha, como ingurgitación yugular y reflujo hepatoyugular.
Caso Clínico:
Paciente de 56 años de edad que desde los 46 años comenzó con ligera disnea a los esfuerzos, palpitaciones, toma del estado general, dolores e inflamación de articulaciones y sobre todo dolor en hipocondrio derecho (HD), náuseas, dispepsias, distención abdominal y palidez de piel y mucosas ¨algo amarillenta¨, este último síntoma motivo de consulta con la especialidad de gastroenterología, quien realiza los siguientes estudios: TGP 238 UI, Bilirrubina total de 18 mg/dl a expensa de la bilirrubina directa, Antígeno de superficie Negativo, Test de Hepatitis B y C negativos , Proteína C Reactiva en 248 mg/dl, GGT de 120 UI, Glicemia de 5.4 Mmol/l, Creatinina en 147 Mmol/L, Urea 4.6 Mmol/l, Ácido úrico en 256 Mmol/l , Fosfatasa alcalina en 204 Mmol/ l, Pigmentos biliares en orina ++, Endoscopia esófago, estómago y duodeno encontraron esófago-gastro-duodenitis aguda, con ulcera gástrica pequeña, no varices esofágica en ese momento. Ultrasonido abdominal que mostró hígado aumentado de tamaño, liso de 5 cm rebasando el reborde costal con esteatosis hepática, no se visualiza páncreas, dilatación gástrica y de asas intestinales con abundantes gases, riñones normales, vejiga y genitales internos normales.
Se decide realizar Laparoscopia y se concluye el caso bajo el diagnóstico de hepatitis de causa desconocida, la cual comienza a ser tratada bajo régimen dietético y fármacos.
Se constató mejoría durante 6 años al remitir el dolor de hipocondrio derecho con hígado pequeño, irregular y no doloroso y de consistencia pétrea hasta que comenzaron a aparecer vómitos, dispepsia, anorexia y toma del estado general cada vez más acentuados. Este cuadro fue tratado según criterios médicos de especialistas.
Hace 2 años el cuadro se hace más acentuado con edemas en miembros inferiores, bilaterales y simétricos de difícil godet, el ictero se incrementa y más tarde aparecen ¨vómitos de color oscuro como ¨borra de café¨, muy abundantes en cantidad, pero no en frecuencia. Luego este vomito que se define como ¨Hematemesis¨ empieza a repetirse con una mayor frecuencia y abundancia, entonces se decide realizar nuevamente endoscopia de esófago, estómago y duodeno donde se encuentra gastritis erosiva, ulcus gastroduodenal y la presencia de várices esofágicas abundantes y sangrantes las cuáles recibieron tratamiento por las especialidades de gastroenterología y cirugía quienes además luego del control de los síntomas realizaron Biopsia por Ajuga Fina (BAF) hepática que señala cirrosis hepática de causa desconocida. Se le atribuyo la disnea a menores esfuerzos, las palpitaciones regulares e irregulares, molestas, al igual que su astenia, pérdida de peso, dolores torácicos, ortopnea, desvanecimientos, a la anemia y a la patología de base hasta el momento (Cirrosis Hepática).
Por solicitud de los familiares de la paciente es valorada por la especialidad de cardiología quien en una primera consulta describe varios hallazgos al examen físico:
Aparato respiratorio: murmullo vesicular rudo y estertores crepitantes ásperos, que recuerdan a los de la fibrosis pulmonar (estertores inspiratorios de base en la auscultación, con un sonido similar al producido al separar una pieza de velcro).
Aparato Cardiovascular: Ruidos cardíacos rítmicos. 1er. ruido cardíaco fuerte; intenso;
2do. ruido poco desdoblado con P2 muy intenso. Chasquido de apertura mitral muy pegado al 2do. ruido cardíaco. Arrastre diastólico largo; todo en el foco de la punta (ápex). Soplo Holo sistólico en borde esternal derecho y 3er y 4to espacios intercostales izquierdos que se hace más intenso y largo con la inspiración (Maniobra de Rivero Carvalho positiva). Escape pulmonar corto. Ingurgitación yugular y reflujo hepatoyugular.
Se indica Tele cardiograma: Observándose aumento de la trama bronco vascular en ambos hilios pulmonares y falta de irrigación vascular hacia la periferia de los pulmones. Muy prominente el arco de la pulmonar. Índice Cardiotorácico (ICT) marcadamente aumentado con elevación de la punta del corazón (Ápex) hacia arriba, impresionando; fielmente; corresponder a cavidades derechas cardíacas. Es evidente la doble sombra marcada en la silueta cardíaca dependiente de aurícula derecha gigante.
Se procede a realizar Ecocardiograma Transtorácico usando equipo Philiph IE 33: donde se encontró una aurícula Izquierda remodelada, un ventrículo izquierdo con disminución de su cavidad. Cavidades derechas (CD) con aumento significativo de sus diámetros y disfunción sistodiastólica. Estimación de Presiones Pulmonares de 75 mm/Hg. (Imágenes 1, 2 y 3)
Imagen 1. Eje corto paraesternal izquierdo para visualizar válvula mitral, aurícula izquierda gigante y cavidades derechas.
VM: Válvula mitral - TIA: Tabique interauricular - AD: Aurícula derecha - VT: Válvula Tricuspídea - VD: Ventrículo derecho.
Imagen 2: Ecocardiograma doppler, desde el Ápex, en vista 4 cámaras, mostrando los cambios del ciclo cardíaco correspondiente a una estenosis mitral crítica (EMC)
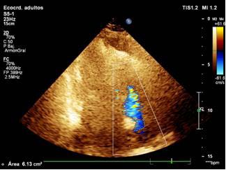
Imagen 3: Ecocardiograma doppler color, vista en 4 cámaras desde el ápex, precisando yet de insuficiencia tricúspidea (613 mm2) por repercusión sobre cavidades derechas de la hipertensión pulmonar (HTP).
Conclusión: Estenosis Mitral Severa. Hipertensión Pulmonar (HTP) Severa secundaria a valvulopatía mitral. Disfunción de Ventrículo derecho Sistodiastólica.
Decidimos indicar Sildenafilo en dosis progresiva hasta lograr 50 mg cada 8 horas; logramos disminuir HTP, presión en venas cavas y por consiguiente disminución de la presión en varices esofágicas por lo que el sangramiento (Hematemesis) ha disminuido marcadamente tanto en cantidad como en frecuencia.
El diagnóstico etiológico tardío mantiene un pésimo pronóstico en la enferma lo que brinda una experiencia de la necesidad de interrelación de las especialidades en cada enfermo.
Comentarios:
Dada la heterogeneidad de las alteraciones del hepatograma, los pacientes con IC avanzada que presentan función hepática anormal deben ser estudiados con el fin de descartar en primera instancia una posible obstrucción hepatobiliar 7. Una vez que la patología biliar primaria y los cuadros sistémicos que pueden afectar concomitantemente al corazón e hígado han sido descartados, las alteraciones del hepatograma sumadas al aumento de las presiones de llenado derechas, pueden sugerir que estemos frente a un cuadro de injuria hepática cardiogénica.
Mecanismos que conducen a 2 tipos de lesiones hepáticas cardiogénica: La insuficiencia cardiaca crónica produce una congestión pasiva crónica del hígado, llevándolo a una alteración de la función hepática que ocasiona colestasis. La descompensación aguda de los pacientes que padecen insuficiencia cardiaca crónica provoca una hepatitis hipóxica isquémica 8-15. En pacientes con IC derecha, las sinusoides hepáticas congestivas probablemente comprimen a los canalículos y conductillos biliares por aumento de la presión hidrostática y aumento del tamaño de las células hepáticas; este fenómeno es llamado “resistencia Starling”. La citólisis hepática se relaciona con la hipo perfusión y/o la hipo oxigenación de las células hepáticas de la región centrolobulillar (hígado en nuez moscada) que son las células más distantes de acuerdo al dual aporte circulatorio: de la arteria hepática y de la vena porta 16.
En el cirrótico descompensado, existe en la circulación sistémica un estado hiperdinámico, caracterizado, como tal, por una frecuencia y un gasto cardiaco (GC) elevados, con un índice cardiaco, en reposo, elevado por encima del rango normal (de 2.5 a 4.0 L/min por m2) y caracterizado asimismo por una disminución de las resistencias vasculares, con una presión arterial normal, baja o disminuida 17-19.
La causa de todo ello, parece ser un aumento de la actividad nerviosa simpática, acompañada de un aumento de la precarga, debida a un aumento del volumen sanguíneo y la presencia de comunicaciones arteriovenosas 20. Ello conduce a una activación crónica del sistema nervioso simpático y del eje renina-angiotensina. El aumento de las concentraciones de vasopresina y una sobrecarga de volumen crónica consecuentes, causan remodelado y crecimiento ventricular. Más aún, en muchos de estos pacientes se objetiva signos francos de insuficiencia cardiaca (IC) como son disnea, retención liquida y capacidad de esfuerzo limitada 16-19. La relación entre la función cardíaca y hepática y la estrecha interrelación entre enfermedades cardíacas y hepáticas son totalmente indiscutible16-20.
Es imposible habla de afección hepática de causa desconocida sin haber tenido un criterio cardiológico exhaustivo y más en un hospital general docente donde el trabajo multidisciplinario se hace fácil. El trabajo en equipo multidisciplinario con un enfoque integral y biopsicosocial, donde predomine la busca de mantener la salud y la calidad de vida en nuestros pacientes debe ser una constante que sin dudas progrese y se haga más fuerte y con más y mejores conocimientos con el estudio continuo y actualizado de cada caso. El calificativo de ¨causa desconocida¨ debe ser eliminado y con toda modestia podemos decir ¨desconocemos la causa¨ y vamos a buscar la ayuda multidisciplinaria para siempre pensar que existe una posible causa con los avances clínicos y de los medios diagnósticos tanto en nuestro país como en el mundo en general. La experiencia nos dice que siempre se pueden lograr grandes objetivos teniendo en cuenta múltiples pequeños detalles en Medicina Basada en la Evidencia.
El ejemplo expuesto es una muestra del fracaso de búsqueda de una “Medicina Integradora” y con conocimientos actualizados viendo siempre al paciente como lo más importante y con la necesidad
de soluciones certeras y seguras sin importar otra cosa que el bienestar biopsicosocial del enfermo.
Antes de usar el términos de ¨idiopático¨ o ¨de causa desconocida ¨, debemos agotar todos los recursos en un trabajo en Equipo Multidisciplinario; Integral; con visión clara biopsicosocial y con conocimientos actualizados en la clínica y en la avanzada tecnología de punta, lo que puede ser muy sencillo con la disposición de todos los elementos en cualquiera de las instituciones de Salud en Cuba en particular y en el mundo en general. El esfuerzo colectivo; multidisciplinario; es determinante en los diagnósticos seguros y certeros.
En la paciente analizada solo con un exhaustivo interrogatorio, examen físico y un ecocardiograma transtorácico el cardiólogo llego a un diagnostico etiológico que siendo más precoz lograría un tratamiento quirúrgico y una vida prolongada y con calidad en una enferma relativamente joven.
Referencias bibliográficas
1.-Gelow JM, Desai AS, Hochberg CP, Glickman JN, Givertz MM, Fang JC. Clinical predictors of hepatic fibrosis in chronic advanced heart failure. Circ Heart Fail 2010; 3(1):59-64.
2. - Weisberg IS, Jacobson IM. Cardiovascular diseases and the Liver. Clin Liver Dis 2011; 15(1):1-20.
3. - Brosnan ME, Brosnan JT. Hepatic glutamate metabolism: a tale of 2 hepatocytes. Am J Clin Nutr 2009; 90(3):857S-861S
4. - Giallourakis CC, Rosenberg PM, Friedman LS. The liver in Heart failure. Clin Liver Dis 2002; 6(4):947-67, viii-ix.
5. - Gelow JM, Desai AS, Hochberg CP, Glickman JN, Givertz MM, Fang JC. Clinical predictors of hepatic fibrosis in chronic advanced heart failure. Circ Heart Fail 2010; 3(1):59-64.
6. - Fuhrmann V, Kneidinger N, Herkner H, Heinz G, Nikfardjam M, Bojic A, et al. Hypoxic hepatitis: underlying conditions and risk factors for mortality in critically ill patients. Intensive Care Med 2009; 35(8):1397-405.
7. - Dungu JN, Anderson LJ, Whelan CJ, Hawkins PN. Cardiac Transthyretin amyloidosis. Heart 2012; 98(21):1546-54.
8. - Toris GT, Bikis CN, Tsourouflis GS, and Theocharis SE. Hepatic Encephalopathy: an updated approach from pathogenesis to treatment. Med Sci Monit 2011; 17(2):RA53-63.
9.- AG Baialardo. Insuficiencia Cardíaca; Insuf Card 2015; 10 (2): 66-77
10.- Raurich JM, Llompart-Pou JA, Ferreruela M, Colomar A, Molina M, Royo C, et al. Hypoxic hepatitis in critically ill patients: Incidence, etiology and risk factors for mortality. J Anesth 2011; 25(1):50-6.
11. - Weisberg IS, Jacobson IM. Cardiovascular diseases and the Liver. Clin Liver Dis 2011; 15(1):1-20.
12. - 10. - Kisloff B, Schaffer G. Fulminant hepatic failure secondary to congestive heart failure. Am J Dig Dis 1976; 21(10):895-900.
13. Kavoliuniene A, Vaitiekiene A, Cesnaite G. Congestive hepatopathy and hypoxic hepatitis in heart failure: a cardiologist’s point of view. Int J Cardiol 2013; 166(3):554-8.
14. Russell SD, Rogers JG, Milano CA, Dyke DB, Pagani FD, Aranda JM, et al. Renal and hepatic function improve in advanced Heart Failure patients during continuous-flow support with the Heart Mate II left ventricular assist device. Circulation
2009; 120(23):2352-7.
15. Cannon RM, Hughes MG, Jones CM, Eng M, Marvin MR. A review of the United States experiences with combined heart-liver
transplantation. Transpl Int 2012; 25(12):1223-8.
16. Writing group to review new evidence and update the 2005 guideline for the management of patients with chronic heart failure writing on behalf of the 2005 heart failure writing committee. 2009 Focused Update; ACCF/AHA Guidelines for the Diagnosis and Management of Heart Failure in Adults A Report of the American College of Cardiology Foundation/American Heart Association Task Force on Practice Guidelines Developed in Collaboration With the International Society for Heart and Lung Transplantation. Circulation. 2009; 119:1977-2016.
17. Ickstein K , Cohen Solal A , Filippatos G , McMurray JJ , Ponikowski P , Poole-Wilson PA , Strömberg A , van Veldhuisen DJ , Atar D , Hoes AW , Keren A , Mebazaa A , Nieminen M , Priori SG , Swedberg K . ESC Guidelines for the diagnosis and treatment of acute and chronic heart failure 2008 European Journal of Heart Failure Volume 10, Issue 10, October 2008, Pages 933-989.
18.Wong F, Siu S, Liu P, Blendis L. Brain natriuretic peptide, is it a predictor of cardiomyopathy in cirrhosis? Clin Sci. 2001; 101: 651-7.
19. Flather MD, Shibata MC, Coats AJ, Van Veldhuisen DJ, Parkhomenko A, Borbola J, et al. Randomized trial to determine the effect of nebivolol on mortality and cardiovascular hospital admission in elderly patients with heart failure (SENIORS) Eur Heart J. 2005; 26; 215–225.
20. Barnstorm A, Anderson B, Edner M, Nylander E, Persson H, Dahlström U. Effect of Carvedilol on diastolic function in patients with diastolic heart failure and preserved systolic function. Results of the Swedish Doppler echocardiographic study (SWEDIC) Eur J Heart Fail 2004; 6; 453–461.
Recibido: 17-12-2018
Aceptado: 30-01-2018
Enlaces refback
- No hay ningún enlace refback.
Copyright (c) 2019 Rodolfo Vega Candelario

Este obra está bajo una licencia de Creative Commons Reconocimiento-NoComercial 4.0 Internacional.









