Neumopericardio. Presentación de tres casos.
Palabras clave:
Neumopericardio; Pericarditis tuberculosa; Taponamiento cardíacoResumen
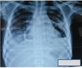
Introducción: el neumopericardio es una entidad potencialmente mortal y dependiendo del factor etiológico presenta formas clínicas variadas. En pacientes con taponamiento cardiaco debe realizarse inmediatamente punción y colocación de un drenaje pericárdico. Tiene mal pronóstico, con una mortalidad del 90%. Objetivo: resaltar el papel que adquiere la radiografía de tórax en cuanto a capacidad diagnóstica. Presentación de casos: Se muestran tres casos en escenarios sanitarios diferentes. Dos de ellos de nacionalidad angolana y el tercero atendido en el Hospital Pediátrico Provincial de Sancti Spíritus, Cuba: Conclusiones: constituye una complicación grave con múltiples etiologías y su incidencia es baja. La radiografía de tórax es el medio diagnóstico fundamental, con mejor capacidad que la ecocardiografía para definir su gravedad y posibles causas.
Descargas
Citas
León Vara Cuesta O, Sarmiento Portal Y, Hernández Castro M, Pérez Lorenzo YB, Piloña Ruiz SG. Neumopericardio espontáneo en el recién nacido a Término. Rev. Ciencias Médicas. Julio-Agosto, 2014; 18(4): 697-704. Disponible en: www.revcmpinar.sld.cu/index.php/publicaciones/article/view/1476/html
Gołota JJ, Orłowski T, Iwanowicz K, Snarska J. Air tamponade of the heart. Kardiochir Torakochirurgia Pol. 2016;13: 150–153. Disponible en: https://www.ncbi.nlm.nih.gov/pubmed/27516791
Iris ER, Mariano ZS, Nieves RR. Una causa poco frecuente de dolor torácico: neumopericardio. Cardiocore. 2018; 53(1):38. Disponible en: www.sciencedirect.com/journal/cardiocore/vol/53/issue/1
Marchiori E, Canella C, Hochhegger B, Zanetti G. An uncommon complication of staphylococcal pneumonia: pneumopericardium with cardiac tamponade. Thorax 2015; 70:395. Disponible en: dx.doi.org/10.1136/thoraxjnl-2014-206642
Fortuno JR, Alguersuari A, Falcó J. Abordaje radiológico del taponamiento cardiaco. Radiología. 2010; 52(5): 414-424. Disponible en: www.sciencedirect.com/science/article/pii/S0033833810002274
Flores Sánchez A, Marrero Medero RF, Cabalé Vilariño MB. Neumopericardio posterior a evacuación quirúrgica de derrame pericárdico. Revista Argentina de Cardiología, 2011, 79(6), 530-530. Disponible en: www.redalyc.org/articulo.oa?id=305326979009
Bricheteau M. Observation d’hydropneumopericarde accompagne d’un bruit de fluctuation perceptible a l’oreille. Archs Gén Med 1844; 4: 334. Disponible en: www.scielo.isciii.es/scielo.php?script=sci_nlinks&ref=4902570&pid=S1130-0108200700030001000002&lng=es
Konijn AJ, Egbers PH, Kuiper MA. Pneumopericardium should be considered with electrocardiogram changes after blunt chest trauma: a case report. J Med Case Rep 2008; 2: 100. Disponible en: www.ncbi.nlm.nih.gov › pubmed
Schulte-Hermes M, Klein-Wiele O, Vorpahl M, Seyfarth M. Acute tension pneumopericardium due to perforated gastric ulcer without diagnostic radiographic findings 72 h before perforation. J Cardiol Cases. 2018 Dec. ; 18(6): 201–203. Disponible en: www.ncbi.nlm.nih.gov/pmc/articles/PMC6306572/
Shackelford RT. Hydropneumopericardium. JAMA 1931; 96: 187-91. Disponible en: www,scholar.google.com/scholar_lookup?journal=Arch+Gen+Med&volume=4&publication_year=1844&pages=334&.
Maxson N, Harsha K, Richard PL. The Heart's Halo: Caring for Pediatric Pneumopericardium. J Pediatr Intensive Care 2018; 07(04): 213-215. Disponible en: www.thiemeconnect.de/products/ejournals/abstract/10.1055/s-0038-1653981
Cho SH, Hui JH, Chang BP. Pneumopericardium after pericardiostomy, Journal of the Formosan Medical Association (2016). Disponible en: http://dx.doi.org/10.1016/j.jfma.2016.03.003
Petre C, Donoiu O, Militaru C, Istrãtoaie O. Neumopericardio en un paciente joven con pericarditis tuberculosa. CorSalud 2018 Ene-Mar;10(1):78-7. Disponible en: scielo.sld.cu › scielo › pid=S2078-71702018000100010
Publicado
Cómo citar
Número
Sección
Licencia
Aquellos autores/as que tengan publicaciones con esta revista, aceptan los términos siguientes:- Los autores/as conservarán sus derechos de autor y garantizarán a la revista el derecho de primera publicación de su obra, el cuál estará simultáneamente sujeto a la Attribution-NonCommercial 4.0 Internacional (CC BY-NC 4.0) que permite a terceros compartir la obra siempre que se indique su autor y su primera publicación esta revista. o admite fines comerciales. Permite copiar, distribuir e incluir el artículo en un trabajo colectivo (por ejemplo, una antología), siempre y cuando no exista una finalidad comercial, no se altere ni modifique el artículo y se cite apropiadamente el trabajo original. El Comité Editorial se reserva el derecho de introducir modificaciones de estilo y/o acotar los textos que lo precisen, comprometiéndose a respectar el contenido original.
- Los autores/as podrán adoptar otros acuerdos de licencia no exclusiva de distribución de la versión de la obra publicada (p. ej.: depositarla en un archivo telemático institucional o publicarla en un volumen monográfico) siempre que se indique la publicación inicial en esta revista.
- Se permite y recomienda a los autores/as difundir su obra a través de Internet (p. ej.: en archivos telemáticos institucionales o en su página web) antes y durante el proceso de envío, lo cual puede producir intercambios interesantes y aumentar las citas de la obra publicada. (Véase El efecto del acceso abierto).



