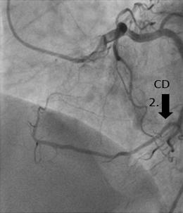
Origen anómalo congénito de la coronaria derecha a partir de la arteria circunfleja distal
Palabras clave:
anomalia coronariaDescargas
Publicado
Cómo citar
Número
Sección
Licencia
Aquellos autores/as que tengan publicaciones con esta revista, aceptan los términos siguientes:- Los autores/as conservarán sus derechos de autor y garantizarán a la revista el derecho de primera publicación de su obra, el cuál estará simultáneamente sujeto a la Attribution-NonCommercial 4.0 Internacional (CC BY-NC 4.0) que permite a terceros compartir la obra siempre que se indique su autor y su primera publicación esta revista. o admite fines comerciales. Permite copiar, distribuir e incluir el artículo en un trabajo colectivo (por ejemplo, una antología), siempre y cuando no exista una finalidad comercial, no se altere ni modifique el artículo y se cite apropiadamente el trabajo original. El Comité Editorial se reserva el derecho de introducir modificaciones de estilo y/o acotar los textos que lo precisen, comprometiéndose a respectar el contenido original.
- Los autores/as podrán adoptar otros acuerdos de licencia no exclusiva de distribución de la versión de la obra publicada (p. ej.: depositarla en un archivo telemático institucional o publicarla en un volumen monográfico) siempre que se indique la publicación inicial en esta revista.
- Se permite y recomienda a los autores/as difundir su obra a través de Internet (p. ej.: en archivos telemáticos institucionales o en su página web) antes y durante el proceso de envío, lo cual puede producir intercambios interesantes y aumentar las citas de la obra publicada. (Véase El efecto del acceso abierto).



